"Bölgesel Bir Bakış" sunan bu yazılar, Türkiye’nin doğal mirasını geleceğe aktarmanın bir tercihten öte, yaşamın ta kendisini savunmak olduğunu hatırlatmayı…
"Bölgesel Bir Bakış" sunan bu yazılar, Türkiye’nin doğal mirasını geleceğe aktarmanın bir tercihten öte, yaşamın ta kendisini savunmak olduğunu hatırlatmayı…
Munzur’u savunmak, milyonlarca yıllık bir evrimsel süreci, özgürce akan bir nehri ve bir toplumun kimliğiyle birleşmiş ekosistem bütünlüğünü geçmişin güzellikleriyle…
Phaselis yalnızca geçmişin sessiz bir kalıntı topluluğu değil; antik dünyanın ticaret ahlakını, denizcilik bilgisini ve kültürel sürekliliğini bugüne taşıyan yaşayan…
Bipolar bozukluk depresyon ve mani/hipomani dönemleri ile giden, tedavi olmadığı takdirde hem kişi için hem de yakınları için hayat kalitesini…
Bipolar Bozukluk iyileştirilebilir bir hastalık olmasa da, atak dönemleri, belirtileri ve yinelenmesi kontrol altına alınarak tedavi edilen bir durumdur.
Peki ne ola ki bu duygudurum? Yenilir mi yutulur mu? Neden bozuluyor? Düzeni bozulunca neler oluyor?
Bu yıl insanlık, tarihinde gelmiş geçmiş en büyük evlatlarından birisinin 300. doğum yıldönümünü kutluyor.
Felsefe hayatın içindedir. Şu ya da bu filozof şunu ya da bunu söylemiş, sözler kendi başlarına bir şey ifade etmezler.…
Bu kısacık yazı, Kant’ın Teorik Aklın Eleştirisi’ne yazdığı I. ve II. Önsöz ile Aydınlanma Nedir? yazısından hareketle eleştiri, akıl, özgürlük…
Felsefenin bilimselleşmesi aynı zamanda felsefeyi insanların pratik dertlerine deva olabilen bir teorik bilimsel bir uğraşa da dönüştürmeyi amaçlar.
Marx’ın ekonomi politik anlayışının, Klasik yaklaşıma önemli felsefi temeller sağlayan bir bakış açısı geliştirdiğini, bu yolla da Klasik Politik İktisadı…
“Marx’tan geriye kalan, ‘tezler’den çok, yöntemdir. Devlet’e, topluma, toplumsal sınıflara, teknolojiye, üretim ve bölüşüm ilişkilerine bakarken bu yöntemi kullanırız, tarihsel…
Fransız Devrimi toplam olarak bilimin, eğitim, sanayinin önünü açtı; yaygınlaşmasını ve halk arasında kök salmasını sağladı. Bu sayede büyük bir…
Sovyetler Birliği’nin bütün kazanımlarının ve başarılarının temeli Stalin döneminde atılmıştır. Fakat Putin’in “Tarihin en büyük stratejik felaketi” dediği 1991 çöküşünün,…
Atatürk, “Dünyada her şey için, maddiyât için, maneviyât için, hayat için, muvaffakiyet için en hakikî mürşit ilimdir, fendir; ilim ve…
Artık yanlış bilmek, hayatta kalma şansınızı değiştirmiyor. Bilakis, bunu pazarlayabilecek bir mecra bulabilmek, günümüz şartlarındaki “hayatta kalma” konusunu kolaylaştırabilir.
Felsefe kendisini yeniden inşa ederken kendi çağının felsefi gereksinimlerinden ve felsefe tarihinin doruk noktasında bulunan felsefe hareketinin mirasından hareketle kendisini…
Bilişsel evrim ile teknolojik gelişmelerin etkileşiminin, insanların düşünme yetenekleri ve bilgi işleme süreçleri üzerinde büyük bir etkiye sahip olduğunu görüyoruz.
Öyle anlaşılıyor ki Batılılaşma ve laiklik, Berkes’in üzerinde durduğu ve anlamaya çalıştığı en önemli sorunlar ve olaylardı.
Atıf Şengün’ün akademik çalışma alanını genlerin canlılık üzerine etkisi, dev kromozomlar ve antikanserojen maddeler olarak belirtmek mümkündür.
Akdik’in verdiği dersler Genel Botanik, Moleküler Biyoloji, Sitoloji, Genetik, Kriptogam, İnsan Genetiği, Evolüsyon, Bitki Coğrafyası ve Farmakobotanik dersleridir.
Atatürk’ün asıl talebi “Türklerin medeniyet tarihindeki yerinin” belirlenmesiydi; çünkü ancak bu sayede oryantalistlerin Türklere ilişkin önyargılarını gidermenin mümkün olacağına inanıyordu.
1923-1938 yılları arasında egemen olan “yönetim anlayışı”, akıl ve bilim üzerine inşa edilmişti. İkinci Dünya Savaşı’ndan sonraki süreçte, Batı Bloku…
Tıpkı eğitimde olduğu gibi bugün attığınız bilimsel adımların çıktılarını görmek biraz zaman alacaktır. Ancak bu adımların sadece eğitimle ilgili alanlarda…
Temsili demokrasinin her boyutunda gözlemlenen yabancılaşma problemlerinin ışığında doğrudan demokrasinin gerekliliği ve olanaklılığı üzerine yeniden düşünmek acil ve zaruri oldu.
Kant, ahlaklılığın ancak özgürlükle birlikte bulunduğu zaman anlamlı olduğunu ve ahlak yasasının özgürlük varsayımı üzerinde temellendirilebileceğini öne sürer.
Niye oy verdiğimizden bağımsız olarak oy verdikten sonra, oy verme gerekçelerimizi daha da genişletiyor ve oy verdiğimiz seçenek için kendimize…
Acaba bir kişinin hastalık ya da kaza sonrası ana dilini/dillerini unutmuş olarak kendine gelme olasılığı var mı?
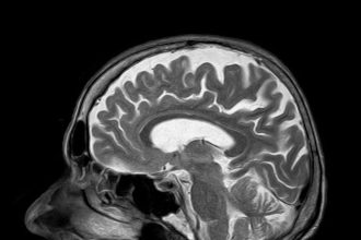
En sık duyduğum serzenişlerden birisi “Ama beyin MRG çektirmeden senin migrenin var dediniz!” Pekâlâ, bu serzenişler ya da bu algı…
Biz insanlar doğuştan kötü olmaya meyilli bir tür müyüz? Genellikle öyle olduğunu düşünürüz ancak tabii ki değiliz.
Yanık türkülerin yeşil başlı gövel ördeklerinden esinlenilen romantizm yalnızca bizim hayallerimizde var; gerçek dünyada bu türlerin aşk hayatları çok daha…
İnsanlar genellikle penislerin sadece güçlü ve heybetli hayvanlarda var olduğu yanılgısındadırlar. Fakat solucanlardan böceklere doğada pek çok türün erkeklerinde oldukça…
Doğada ziyanı minimuma, dölleme yeteneğini maksimuma çıkarmanın her yolu makbuldür.
"Bölgesel Bir Bakış" sunan bu yazılar, Türkiye’nin doğal mirasını geleceğe aktarmanın bir tercihten öte, yaşamın ta kendisini savunmak olduğunu hatırlatmayı…
Munzur’u savunmak, milyonlarca yıllık bir evrimsel süreci, özgürce akan bir nehri ve bir toplumun kimliğiyle birleşmiş ekosistem bütünlüğünü geçmişin güzellikleriyle…
Phaselis yalnızca geçmişin sessiz bir kalıntı topluluğu değil; antik dünyanın ticaret ahlakını, denizcilik bilgisini ve kültürel sürekliliğini bugüne taşıyan yaşayan…
Rekabet savaş demektir. Bu durumda okullarımızın baştan sona şiddet sahneleri ile dolmasına şaşmalı mıyız?
Modern dünyada insanlık ulusları ortaya çıkarmış; bu, insanlığın nihai kurtuluşu yolunda zorunlu bir adımdır; fakat egemen devletler olarak örgütlenmiş uluslar…
Dayatılan toplumsal güzellik normları sağlıklı bir kadın bedenini değil; metalaştırılmış, hem ruhsal hem fiziksel olarak tüketilmiş bir kadın bedenini vurguluyor.
İster monarşist bir Rus dükü veya Osmanlı halefi olsun, ister Türkiye’nin veya Rusya’nın bağrından kopup gelmiş bir devrimci ya da…
Barış, bazen kırılgandır. Sanat tarihinin öngördüğü güzellik ve barış ideası ile insanlık tarihini anlama çabasının aksine; güce ve iktidara tapınanların…
TÜYAP İstanbul Uluslararası Kitap Fuarı'nda art arda düzenlenen etkinliklerde Türkiye ve Çin, kültürel ve akademik iş birliğini stratejik bir alana…
Özellikle pazarlarda, enginarların içinde bekletildiği 3 – 5 litrelik büyük plastik kaplar, çoğu zaman günlerce değiştirilmeyen birer bakteri yuvasıdır.
Ketojenik diyet bugün dünya çapında pek çok insan tarafından uygulanan bir diyet çeşididir. Bilinçli ve doğru şekilde uygulandığında sağlık açısından…
Araştırmacılar, yerli arı balını kakao çekirdeği kabuklarıyla birleştirerek yeni bir ürün geliştirdi: Çikolatalı bal.
"Bölgesel Bir Bakış" sunan bu yazılar, Türkiye’nin doğal mirasını geleceğe aktarmanın bir tercihten öte, yaşamın…
Munzur’u savunmak, milyonlarca yıllık bir evrimsel süreci, özgürce akan bir nehri ve bir toplumun kimliğiyle…
Phaselis yalnızca geçmişin sessiz bir kalıntı topluluğu değil; antik dünyanın ticaret ahlakını, denizcilik bilgisini ve…
Göksu Deltası’nın geleceği doğru su yönetimi, habitat restorasyonu ve sürdürülebilir insan faaliyetlerine bağlıdır.
Sign in to your account